你以为吃了很辣的东西之后只是舌头受不了吗? “卡罗莱纳死神辣椒”(Carolina Reaper)被称为世界上最辣的辣椒,一个美国男子在吃了它之后头痛了好几天,实在受不了才去了急诊室。

卡罗莱纳死神辣椒 底特律亨利福特医院的医生表示,这名34岁男子吃了辣椒后马上就“有了感觉”,可能以为忍一忍就过去了,但头痛一再发作,最后才去了急症室。
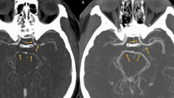
各种神经系统问题的检测结果都呈阴性,但CT扫描发现,该男子大脑中的动脉受压。因此神经病学家格雷戈里·卡明斯医生诊断他得了霹雳性头痛 (thunderclap headaches)。这是一种少见的极端性头痛,病人感觉就好像是被霹雳击中。该男子的霹雳性头痛是由可逆的脑血管收缩综合征引起的,这是一种暂时性的大脑动脉收缩。
虽然这种情况很罕见,而且可能是有记录的首个这类病例,但重要的是,这种情况确实有可能出现。 “人吃了卡罗莱纳死神这样的辣椒后可能会出现严重症状,公众需要对此有所了解。如果你开始出现这些症状,你就应该立即去急诊室,因为如果血管收缩出现在心脏,可能就会导致心肌梗死,如果出现在大脑中,可能就会导致中风。”

经过静脉输液以及止痛药物治疗之后,该男子身体康复。在五周内,他的动脉恢复了正常。
卡罗莱纳死神被称为世界上最辣的辣椒,因为它比其他辣椒含有更多的辣椒素。
辣椒素有助于促进新陈代谢,促进体重减轻并减轻关节疼痛,但营养学家警告说,人们服用它应该谨慎。